Why Are These Procedures Necessary?
When teeth are lost or extracted, the gums and underlying bone often shrink or weaken. Other factors like periodontal disease, injury, or pre-existing defects may contribute to soft and hard tissue loss. Without intervention, these changes can impact oral health and make dental implants challenging to place.
Before
After
How Do They Work?
This method is ideal for mild to moderate cases and focuses on the following steps:
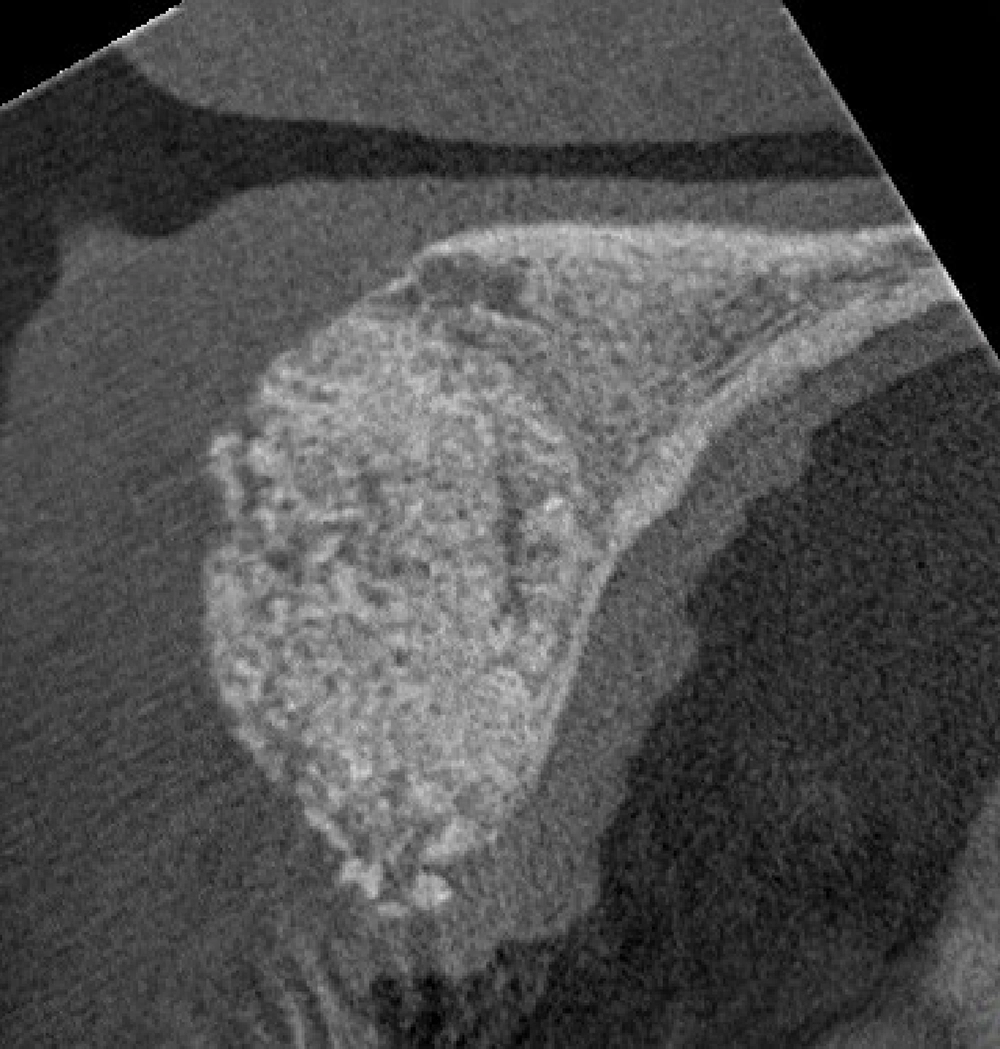
Hard Tissue Augmentation
Restores lost bone in areas where dental implants are planned. Bone grafts—either natural or synthetic—are used to rebuild the alveolar bone for strength and stability
Hard tissue augmentation 3 (a)
Hard tissue augmentation 3 (b)
Hard tissue augmentation 3 (c)
Soft Tissue Augmentation
Enhances gum volume and contour for natural aesthetics and support around implants or areas of gum recession.
Graft materials may be sourced from your tissue, synthetic alternatives, or animal-derived grafts to achieve the best results.
Benefits of Augmentation
For severe or advanced periodontal disease, surgical intervention may be necessary:
- Creates a secure foundation for implants
- Enhances gum and bone structure
- Minimises complications from poor implant placement
- Improves overall oral health and aesthetics
Your First Visit
Get prepared with everything you need to know. Explore our FAQs, and find detailed directions and parking info for a seamless experience.
Referring a Patient
Simplify referrals with ease. Use our online or PDF form to connect your patients to expert periodontal care.
Restore Gum and Bone Health for a Stronger, Healthier Smile with Expert Augmentation at Precision Periodontics
Rebuild your smile with hard and soft tissue augmentation at Precision Periodontics. These specialised procedures create a strong foundation for implants, restore gum and bone health, and enhance oral aesthetics. Trust our expert team to deliver personalised care and exceptional results. Book your consultation today to take the first step toward a healthier, more confident smile!