OUR SERVICE

Periodontal Regeneration

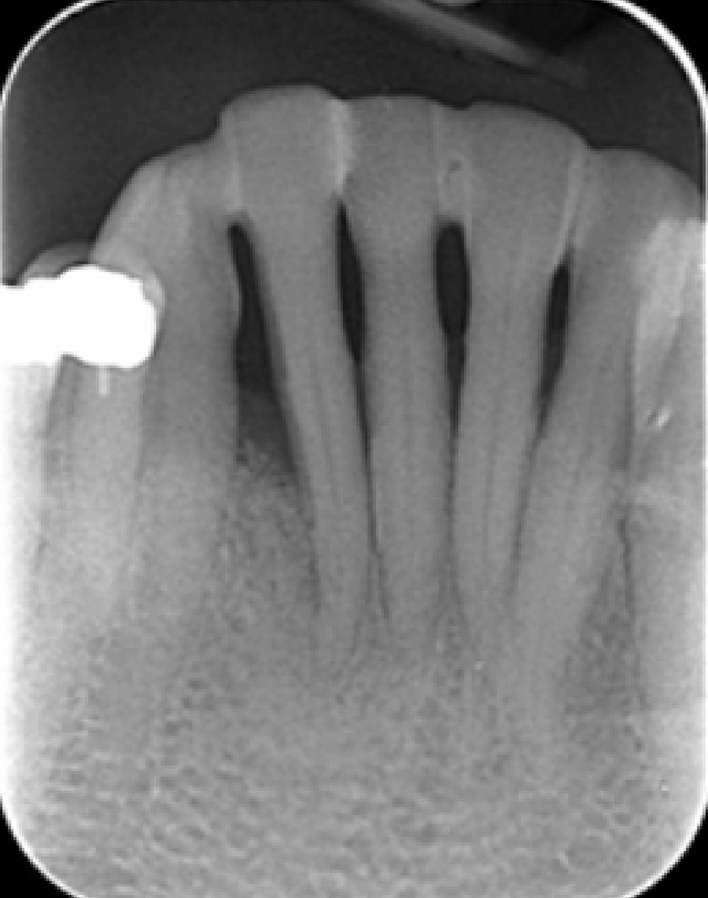
Before

After

Restoring Oral Health with Advanced Periodontal Care

Periodontal regeneration is at the forefront of modern dental treatment, offering patients an innovative solution to repair and rejuvenate the structures supporting their teeth.

At Precision Periodontics, we utilise the latest surgical techniques and cutting-edge biomaterials to rebuild hard and soft tissue damaged by periodontal disease. With this specialised approach, we not only halt disease progression but also restore the integrity of your gum and bone tissues, providing a foundation for long-term oral health.

What is Periodontal Regeneration?

Periodontal disease, if left untreated, can lead to significant damage to the gums, bone, and deeper supporting structures of the teeth. Periodontal regeneration is a surgical treatment focused on reversing this damage by stimulating the natural healing potential of the body. This advanced procedure repairs periodontal tissue damage, including lost bone and gum, through the use of proven techniques and materials such as grafts and regenerative proteins.

This treatment aims to achieve long-term stability, preserve your natural teeth, and enhance the overall health of your mouth.

Before

After

Benefits of Periodontal Regeneration

The benefits of periodontal regeneration go far beyond an improved smile. Key advantages include:

01

Rebuilding and Protecting Teeth

By restoring bone and gum support, periodontal regeneration helps to stabilise teeth and prevent further tooth loss.

02

Enhanced Oral Function

With improved bone and gum structure, patients often notice better chewing and speaking capabilities.

03

Lasting Results

This procedure is designed to provide a durable solution, helping patients maintain healthier gums and teeth for years to come.

04

Improved Aesthetics

Restoring lost gum and bone enhances the natural contour and appearance of your smile.

05

Reduced Risks

Treating periodontal damage lowers the risk of systemic issues often linked to untreated gum disease, such as heart disease and diabetes.

Your First Visit

Get prepared with everything you need to know. Explore our FAQs, and find detailed directions and parking info for a seamless experience.

Referring a Patient

Simplify referrals with ease. Use our online or PDF form to connect your patients to expert periodontal care.

Take the First Step Towards Better Oral Health

If you’re struggling with gum disease or have noticed gum and bone deterioration, periodontal regeneration may be the solution you’re looking for. At Precision Periodontics, our expert team is here to guide you through every step of the process, ensuring you achieve optimal results with care and precision.